28.11.2025
В Клиниках СамГМУ успешно прооперировали сложный случай токсического зоба у пациентки из Пензенской области
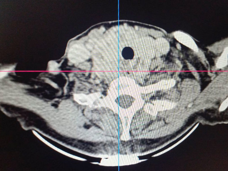
В Клиниках Самарского государственного медицинского университета Минздрава России (СамГМУ) выполнили сложную операцию 67-летней женщине из Пензенской области. Пациентка поступила с диагнозом многоузловой токсический зоб 4-й степени по О. В. Николаеву, которым она страдала почти 20 лет. Заболевание сопровождалось субкомпенсированным тиреотоксикозом, что означало повышенную выработку гормонов щитовидной железы и их токсическое воздействие на организм.
Как пояснил заведующий кафедрой общей хирургии и хирургических болезней СамГМУ, профессор Игорь Макаров, основная угроза для пациентки исходила от влияния болезни на сердце. «Наблюдалось токсическое воздействие на сердечную мышцу, что вызывало мерцательную аритмию и повышение артериального давления. Состояние известно как „тиреотоксическое сердце“, которое без лечения неминуемо ведет к сердечной недостаточности», — отметил профессор Макаров.
Особую сложность представляло анатомическое расположение зоба. По словам хирурга, расположение зоба было частично загрудинным, образование опускалось за грудину примерно на две трети. А правая доля щитовидной железы подходила вплотную к плечеголовному стволу — крупному артериальному сосуду. Кроме того, зоб циркулярно охватывал трахею, сдавливая ее со всех сторон и вызывая у пациентки затруднение дыхания даже при небольшой физической нагрузке.
«Перед нами стояла серьезная задача: существовал высокий риск повреждения подключичной артерии, позвоночного венозного сплетения или грудного лимфатического протока. Их повреждение могло привести к тяжелым осложнениям», — сообщил Игорь Макаров. Из-за такого расположения железы в ходе операции могла быть выявлена необходимость рассечения грудины для безопасного доступа, что значительно усложнило бы операцию и восстановительный период.
Тем не менее, хирургической команде удалось избежать этой меры. Операция была успешно проведена через шейный доступ с применением нейромониторинга — технологии, позволяющей в режиме реального времени контролировать функцию возвратных гортанных нервов. «С использованием нейромонитора мы смогли выделить нервы, которые были спаяны с железой, аккуратно вывихнуть правую долю и провести удаление органа — тиреоидэктомию, практически без кровопотери», — подчеркнул профессор Макаров.
Операции предшествовало комплексное обследование, включавшее компьютерную и магнитно-резонансную томографию, в результате которых было принято решение о проведении срочного хирургического вмешательства. В настоящий момент состояние пациентки стабилизировалось, она чувствует себя хорошо выписана домой для дальнейшей реабилитации.
«Этот клинический случай — яркий пример того, почему не следует годами мириться с болезнью, — резюмировал Игорь Макаров. — Пациентка мучилась много лет, и за это время заболевание успело вызвать серьезные осложнения со стороны сердечно-сосудистой системы, органов дыхания, что уже приводило к плохому самочувствию и имело грозные последствия. Между тем при своевременном обращении медицина позволяет решить такую проблему с минимальными рисками и более щадящими методами. Не стоит терпеть и чего-то ждать — чем раньше вы обратитесь к специалисту, тем эффективнее будет лечение».


Источник: https://samsmu.ru/news/2025/2811/
Последние новости
В Клиниках Самарского государственного медицинского университета Минздрава России (СамГМУ) начали выполнять операции по пересадке волос. Внедрение этой востребованной процедуры призвано составить достойную […]
В Клиниках Самарского государственного медицинского университета Минздрава России (СамГМУ) начали выполнять операции по пересадке волос. Внедрение этой востребованной процедуры призвано составить достойную альтернативу зарубежным клиникам. Теперь пациенты, столкнувшиеся с андрогенетической алопецией, могут получить качественную помощь в отечественном многопрофильном медучреждении.
Внедрением и выполнением процедуры по пересадке волос занимается команда хирургов под руководством врача-хирурга высшей категории хирургического отделения КПХ № 1 Клиник СамГМУ Васифа Алиева. Как отмечает доктор Алиев, решение развивать это направление в стенах университетского стационара было продиктовано очевидной необходимостью.
«Однажды я сам был на отдыхе и увидел, как из Стамбула в Россию летят человек десять с только что пересаженными волосами. Они специально ездили в другую страну за этой услугой. То есть необходимость в этом направлении есть. И когда наш ректор Александр Владимирович Колсанов предложил развивать это направление, у меня не было никаких сомнений и я сразу согласился», — поделился хирург.
Освоение методики хирург Васиф Алиев завершил под руководством турецких коллег, имеющих признанный экспертный статус в этой области. Для практикующего хирурга высшей категории техническая часть процедуры не составляла сложности — ключевой задачей стажировки стало изучение узкоспециализированных нюансов трансплантации волос, отработка и освоение всех практических этапов процедуры. Обучение новой технологии стало возможным благодаря политике университета по повышению квалификации медицинского персонала.
В Клиниках СамГМУ процедура трансплантации волос головы выполняется современным методом FUE. Этот метод имеет ряд ключевых преимуществ. Во-первых, он исключает образование линейного рубца. В отличие от других техник, при использовании FUE в донорской области не вырезается лоскут кожи. При поштучном извлечении фолликулярных единиц на их месте остаются лишь точечные, почти незаметные рубчики, которые легко скрываются даже короткой стрижкой. Во-вторых, метод отличается меньшей инвазивностью и обеспечивает более быстрое восстановление. Поскольку после процедуры нет большой раневой поверхности, заживление происходит быстрее, а послеоперационный дискомфорт минимален. В-третьих, при правильном выполнении пересаженные волосы выглядят абсолютно естественно, что является важным эстетическим результатом.
Метод трансплантации волос FUE подходит пациентам с андрогенетической алопецией I–IV стадий по Норвуду, а также тем, кто хочет восстановить естественную линию роста волос или увеличить густоту в зоне макушки головы. Благодаря отсутствию линейного рубца после применения метода FUE пациент сможет носить даже самые короткие стрижки. Кроме того, метод применяется для коррекции бровей, бороды, усов и рубцов после операций.
Перед процедурой важно учитывать несколько моментов. Длительность операции может варьироваться от 10–12 часов до целого дня при пересадке большого количества графтов. Через 2–4 недели после операции у пациента начинается так называемая «шоковая потеря» волос, когда вновь пересаженные волосы выпадают. Это нормальный процесс. Новые волосы начинают расти через 3–4 месяца. Пациенту также важно осознавать, что результат процедуры напрямую зависит от количества и качества волос в донорской зоне. Если донорский запас скудный, пересадить большое количество волос у врача не будет возможности.
Таким образом, FUE — это щадящий, эффективный и современный метод пересадки волос, который позволяет добиться максимально естественного результата без линейного шрама. Главный принцип — точечное извлечение и пересадка фолликулов, что делает восстановление быстрым и комфортным для пациента.
Одним из первых пациентов по этой процедуре стал мужчина, который столкнулся с проблемой выпадения волос уже в 25 лет. Как рассказал пациент, к 30–35 годам из-за больших залысин он начал комплексовать, выглядеть старше своего возраста и практически перестал фотографироваться. Он признался: «Я узнал, что есть пересадка волос в Турции, стал читать отзывы и морально готовиться, понимая, что придется оторваться от работы». Решение обратиться за процедурой было принято после того, как мужчина увидел в соцсетях, что доктор Алиев, которого его семья знает давно, теперь развивает это направление в Самаре, в Клиниках СамГМУ.
«Позвонил доктору и сказал: „я буду одним из первых“. И сейчас очень доволен, что это сделал. И важно, что никуда не пришлось уезжать, это в моем городе», — рассказал пациент.
Этот клинический случай подтверждает тезис Васифа Алиева о расширении миссии современной хирургии: помимо спасения жизни, ключевой задачей становится восстановление качества жизни пациентов.
«Мы наблюдаем серьезную позитивную динамику в психоэмоциональном состоянии пациентов после проведенной трансплантации. Приобретая желаемый внешний вид, они чувствуют себя увереннее и это открывает перед ними множество дорог, — комментирует Васиф Алиев. — Мы видим зачастую, как молодые парни буквально запираются в себе из-за комплексов, связанных с внешностью. Они боятся новых знакомств, публичных выступлений, чувствуют постоянную неуверенность. Я видел трансформацию у своих же знакомых, которые сделали пересадку: спустя время они стали гораздо более раскрепощенными и уверенными в себе. Для них это был настоящий личный прорыв. Речь идет не просто об эстетической коррекции, а о комплексной реабилитации личности».
Несмотря на эстетический результат, трансплантация волос — это полноценное хирургическое вмешательство. В проведении процедуры задействована команда из четырех специалистов. Как отмечает хирург, процесс требует ювелирной точности, усидчивости и внимания на каждом этапе: от забора и подсчета графтов (трансплантатов) до подготовки каналов и собственно пересадки волос.
«Процедура достаточно длительная. Мы заранее предупреждаем пациентов об этом — например, последняя пересадка заняла 15 часов. Это серьезная работа для всей команды, но мы уверены, что с каждым разом будем действовать все быстрее и оптимизируем этот момент», — отмечает врач.
Несмотря на высокую сложность, операция проводится в амбулаторном режиме. Это означает, что уже в тот же день пациент может отправиться домой. Для обеспечения комфорта во время многочасовой процедуры в специально оборудованном кабинете созданы все необходимые условия.
На данный момент в клиниках уже успешно выполнено несколько таких операций. Ближайшая задача — увеличить частоту проведения трансплантаций и отработать график для максимальной эффективности работы команды.
Для консультации по поводу трансплантации волос головы необходимо записаться на прием по телефону: +7 (846) 374-91-00 (к хирургу Васифу Алиеву) или через Личный кабинет пациента.


Источник: https://samsmu.ru/news/2025/08122/
Самарский государственный медицинский университет Минздрава России (СамГМУ) получил лицензию Росздравнадзора на производство средств для адоптивной иммунотерапии — персонализированных CAR-T клеток. Это важный […]
Самарский государственный медицинский университет Минздрава России (СамГМУ) получил лицензию Росздравнадзора на производство средств для адоптивной иммунотерапии — персонализированных CAR-T клеток. Это важный этап создания в России полного цикла разработки и производства современных клеточных продуктов для лечения онкогематологических пациентов, исчерпавших возможности стандартной терапии. Начало производства инновационных клеточных продуктов на базе СамГМУ при поддержке партнеров запланировано на 2026 год.
CAR-T/NK терапия — это персонализированное клеточное лечение, при котором собственные иммунные клетки пациента (Т-лимфоциты и натуральные киллеры) перепрограммируют для борьбы с опухолью. Процесс включает забор крови, активацию и модификацию клеток с помощью лентивирусного вектора, который встраивает ген химерного антигенного рецептора (CAR), размножение клеток в биореакторе, строгий контроль качества и последующую инфузию пациенту. В настоящее время CAR-T/NK терапия является одним из единичных методов, способных привести к полному излечению пациентов с определенными онкогематологическими заболеваниями. Реализация проекта позволит повысить общую выживаемость таких больных в 2 раза, снизить смертность и зависимость от дорогостоящего импорта.
В отделениях госпитальной терапии Клиник СамГМУ было проведено доклиническое исследование нового метода у пациентов с множественной миеломой, которое показало 80% эффективность, а также отсутствие побочных реакций и серьезных нежелательных явлений.
Проректор по научной работе СамГМУ, главный внештатный специалист гематолог Министерства здравоохранения Самарской области, заведующий кафедрой госпитальной терапии с курсами гематологии и трансфузиологии СамГМУ, д.м.н., профессор Игорь Давыдкин отметил преимущества CAR-T и CAR-NK терапии и использования T-клеток и NK-клеток: «Ключевое преимущество — безопасность и точечное воздействие. Названные клетки, — это важнейшие элементы иммунной системы. Они обеспечивают быструю реакцию на инфицированные и опухолевые клетки. При их использовании практически исключается развитие тяжелых реакций. Это открывает большой терапевтический потенциал».
Руководитель научной группы по разработке клеточных продуктов, д.м.н., профессор кафедры организации здравоохранения, общественного здоровья и менеджмента ИПО СамГМУ Ольга Тюмина подчеркнула сложность лечения онкогематологических заболеваний: «У многих пациентов возникают рецидивы или развивается резистентность к терапии из-за высокой вариабельности и агрессивности болезни, что в большинстве случаев приводит к неблагоприятному прогнозу. Именно поэтому мы сосредоточили усилия на поиске новых стратегий. Терапия на основе CAR-T представляется нам крайне перспективным направлением, которое может дать таким пациентам новый шанс».
Реализация проекта имеет значительный социально-экономический эффект. По оценкам, в России около 10 000 пациентов ежегодно будут нуждаться в такой терапии. Отечественное производство позволит значительно снизить затраты на инновационное лечение.
Ректор СамГМУ, член-корреспондент РАН Александр Колсанов заявил, что планируемый запуск производства — это стратегический шаг для страны. «Мы не просто догоняем мировые тенденции, а создаем собственные передовые технологии. Это реальное импортоопережение — мы создаем конкурентоспособные продукты мирового уровня», — подчеркнул он и добавил, что проект открывает новые возможности для пациентов и помогает России укрепиться в числе лидеров в области биомедицинских технологий.


Источник: https://samsmu.ru/news/2025/05124/
На территории Клиник Самарского государственного медицинского университета Минздрава России (СамГМУ) состоялась торжественная церемония открытия памятника исповеднику и святителю Луке, архиепископу, […]
На территории Клиник Самарского государственного медицинского университета Минздрава России (СамГМУ) состоялась торжественная церемония открытия памятника исповеднику и святителю Луке, архиепископу, выдающемуся хирургу и профессору медицины (в миру — Валентину Феликсовичу Войно-Ясенецкому). Памятник установили около лечебно-диагностического корпуса.
Для самарской медицины имя профессора Валентина Войно-Ясенецкого имеет особое значение. Долгие годы в СамГМУ возглавлял кафедру общей хирургии его ученик — профессор Александр Барский. До Великой Отечественной войны Александр Барский работал главным врачом Большемуртинской районной больницы Красноярского края и добился возможности оставить в профессии ссыльного хирурга Войно-Ясенецкого, которого отправляли на лесоповальные работы. Александр Барский учился у выдающегося профессора, прошел Великую Отечественную опытным фронтовым хирургом, а после войны воспитал не одно поколение самарских врачей.
В церемонии открытия приняли участие Заслуженный юрист России, Действительный государственный советник РФ, писатель и ведущий телеканала «Спас» Павел Астахов, министр здравоохранения Самарской области Андрей Орлов, митрополит Самарский и Новокуйбышевский Феодосий, ректор СамГМУ, член-корреспондент РАН, заслуженный деятель науки РФ, лауреат премии Правительства РФ, профессор Александр Колсанов, главный врач Клиник СамГМУ Николай Измалков, Заслуженный врач РФ, Почетный профессор СамГМУ, ученик Александра Барского Евгений Столяров, профессор кафедры общей хирургии и хирургических болезней СамГМУ, настоятельница Покровского Александро-Чагринского женского монастыря, руководитель рабочей группы «Развитие внутреннего и выездного паломничества» Комиссии по развитию паломничества и принесению святынь Русской Православной Церкви игумения Михаила (Солодухина), член Общественной палаты Самарской области Ольга Суркова, председатель Самарского областного отделения Союза журналистов России Ирина Цветкова и член Общественной палаты Самарской области, член Самарского отделения Конфедерации деловых женщин России Вера Глухова.
«Для нас большая честь, что такой памятник открывают на территории Клиник СамГМУ, — отметил Александр Колсанов. — С этим человеком у нас связана небольшая история, здесь работал ученик Валентина Феликсовича, у нас мощнейшая клиники гнойной хирургии, где лечат эту категорию пациентов. Поэтому я очень благодарен всем, кто причастен к тому, что остановились именно на нашей базе. Сегодня праздник для всего университета и всего медицинского сообщества, да и просто для верующих людей».
Владыка Феодосий отметил, что Валентин Феликсович, так же, как и студенты медицинского университета, желал приносить пользу ближним.
«Когда начались гонения на христиан в советское время, он не оставил свои убеждения, а наоборот принял священнический сан, — говорит Владыка Феодосий. — И этот подвиг стояния вере, подвиг врача, который, находясь в заключении во время Великой Отечественной войны, направил свое прошение на имя Сталина, чтобы ему дозволили участвовать в лечении бойцов, был отмечен и советской властью, и самим Богом, тем что Валентин Феликсович причислен к лику святых. Этот пример, особенно для студентов медуниверситета, надеюсь, будет очень важен и близок».
Андрей Орлов подчеркнул значимость события для самарской земли.
«Для нас сегодня знаменательный день и огромная честь, что именно на территории для многих из нас родных Клиник СамГМУ открывается этот памятник. Памятник человеку, который посвятил всю свою жизнь служению людям, спас тысячи жизней благодаря своей профессии врача, исцелил тысячи душ благодаря своему отношению к Богу. Сегодня многие поколения учатся на его трудах, которые являются фундаментом для гнойной хирургии. Это большая честь, что сегодня происходит соединение и врачевателей, и врачевателей душ — духовенства, — на площадке Клиник СамГМУ», — сказал министр.
Сегодня в разных городах России установлено уже более десяти памятников святителю Луке. Этот вклад в святое дело просвещения и памяти хирурга внесла команда Павла Астахова.
«Очень волнительный день, несмотря на то что это уже 12-й памятник, установленный с момента начала съемок нашего фильма, который мы сегодня представим, — говорит Павел Астахов. — Тем не менее, я все это переживаю как в первый раз. Святитель Лука спасал очень много людей, он не делил их на верующих и не верующих, христиан, иудеев, мусульман, язычников. Святитель Лука соединяет и служение врача, и духовный подвиг святителя. В самое сложное для Русской Православной Церкви время он стал священником, а потом епископом, за что 17 лет провел в ссылках. Единственный святой из Русской Православной Церкви, который, гонимый властью, был награжден высшей государственной наградой — Сталинской премией первой степени. Поэтому то, что мы сегодня собрались, помолились — это дань памяти великому человеку».
В Клиниках СамГМУ 55 лет проработал ученик Александра Барского — Евгений Столяров. На счету Евгения Анатольевича более 12 тысяч операций. Он прошел путь от ординатора до проректора и главного врача Клиник СамГМУ, работал врачом-хирургом в районных больницах области и госпиталях общества Красного Креста Африканских республик.
«Я по научной части как бы являюсь „внуком“ Валентина Феликсовича, — говорит Евгений Столяров. — Я очень горд и благодарен, что у нас открыли памятник такому замечательному человеку. Наша кафедра, на которой я работаю до сих пор с 1969 года, занимается вопросами хирургической инфекции, а основы этой проблемы заложил как раз Валентин Феликсович. Всех поздравляю с таким знаменательным событием».
В церемонии также приняли участие студенты СамГМУ, которые прочитали стихи о святителе Луке Крымском. После торжественного открытия состоялось возложение цветов к памятнику.
В этот же день в духовно-просветительском центре «Кириллица» состоялся специальный показ фильма «Врач от Бога. Святитель Лука Крымский», который представил автор его идеи Павел Астахов.









Источник: https://samsmu.ru/news/2025/0512/
Заведующий кафедрой челюстно-лицевой хирургии и стоматологии Самарского государственного медицинского университета Минздрава России, член-корреспондент РАН, д.м.н., профессор Иван Байриков в составе коллектива авторов […]
Заведующий кафедрой челюстно-лицевой хирургии и стоматологии Самарского государственного медицинского университета Минздрава России, член-корреспондент РАН, д.м.н., профессор Иван Байриков в составе коллектива авторов стал лауреатом премии Правительства РФ в области медицинской науки. Эта премия была учреждена в 2024 году и вручалась впервые за разработки, которые помогают сохранить жизнь и здоровье людей и позволяют справиться с ранее не решенными вопросами медицины. Награды лауреатам премий Правительства 2025 года в области медицины, науки и техники — руководителям коллективов авторов — вручил премьер-министр РФ Михаил Мишустин.
Премией отметили разработанную Главным военным клиническим госпиталем им. Н. Н. Бурденко трехуровневую систему персонифицированной помощи участникам боевых действий с огнестрельными ранениями челюстно-лицевой области. На первом этапе пострадавшему оказывается доврачебная помощь на месте, затем его эвакуируют в госпиталь, который находится рядом с линией фронта, где проводится первичная хирургическая обработка. Третий уровень — военные госпитали центрального подчинения, где оказывают высокотехнологичную медицинскую помощь. Здесь выполняется микрохирургическая специализированная трансплантация в сочетании с аддитивными технологиями, которая позволяет восстанавливать анатомическую целостность костей лицевого черепа и функцию жевания. Это обеспечивает максимально качественное функциональное и эстетическое восстановление и скорейшую ресоциализацию раненых. Таким образом система дает возможность восстановить категорию годности военнослужащих, которые раньше подлежали увольнению из рядов вооруженных сил. В СамГМУ разработали методы использования индивидуальных эндопротезов для восполнения огнестрельных и послеоперационных дефектов. В процессе операции применяют имплантаты, разработанные и изготавливаемые в университете.
«Как восстановить целостность челюстно-лицевой области? По противоположной стороне челюсти. Совместно с Самарским университетом мы создали специальную программу, которая по наличию противоположной стороны может составить 3D-модель недостающего участка челюстно-лицевой области. Это было положено в основу. Затем на базе нашего университета во главе с ректором СамГМУ Александром Владимировичем Колсановым и Почетным ректором Геннадием Петровичем Котельниковым были созданы уникальные возможности изготавливать все это в условиях собственного производства. В результате мы делаем индивидуально изготовленный имплантат половины челюсти, который выполнен по противоположной стороне. Таким образом мы начали внедрять идеи и конкретные предложения в клиническую практику, а наши коллеги военные заинтересовались нашей разработкой», — рассказал Иван Байриков.
На церемонии вручения дипломов лауреатам Михаил Мишустин подчеркнул, что эти награды подтверждают вклад российских ученых в отечественные и мировые фундаментальные и прикладные знания.
«Роль вашего труда и трудовых коллективов велика. Сегодня по всем ключевым направлениям нужно иметь больше практически ориентированных решений, созданных на собственной отечественной базе. И для этого, что всегда подчеркивает глава нашего государства, нужна концентрация кадровых, финансовых и инфраструктурных ресурсов», — отметил премьер-министр.




Источник: https://samsmu.ru/news/2025/03125/
или задайте вопрос о работе Клиник!